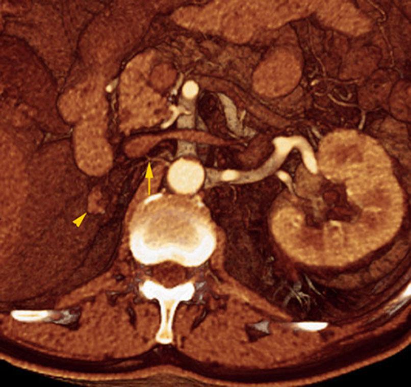
Agenesia Renal
Agenesia Renal
Agenesia Renal
Agenesia Renal
Agenesia Renal
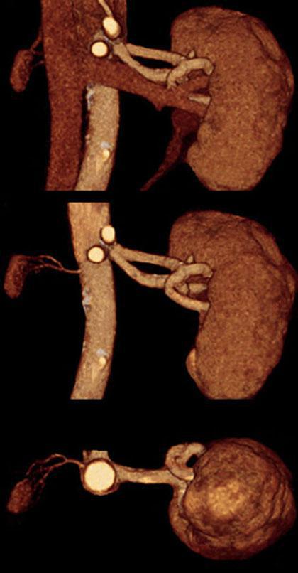
Hipoplasia renal 1
Hipoplasia renal 1
Hipoplasia renal 1
Hipoplasia renal 1
Hipoplasia renal 2
Hipoplasia renal 2
Hipoplasia renal 2
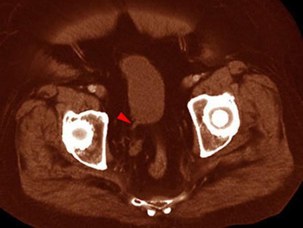
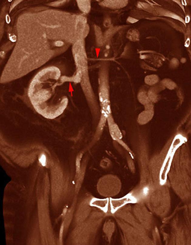
Riñón único pélvico
Riñón único pélvico
Riñón único pélvico
Riñón único pélvico