
4 / 16

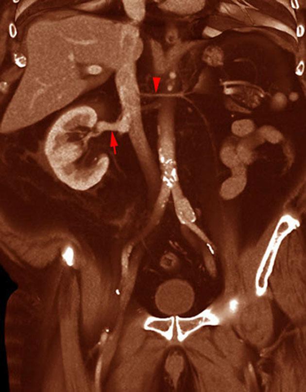
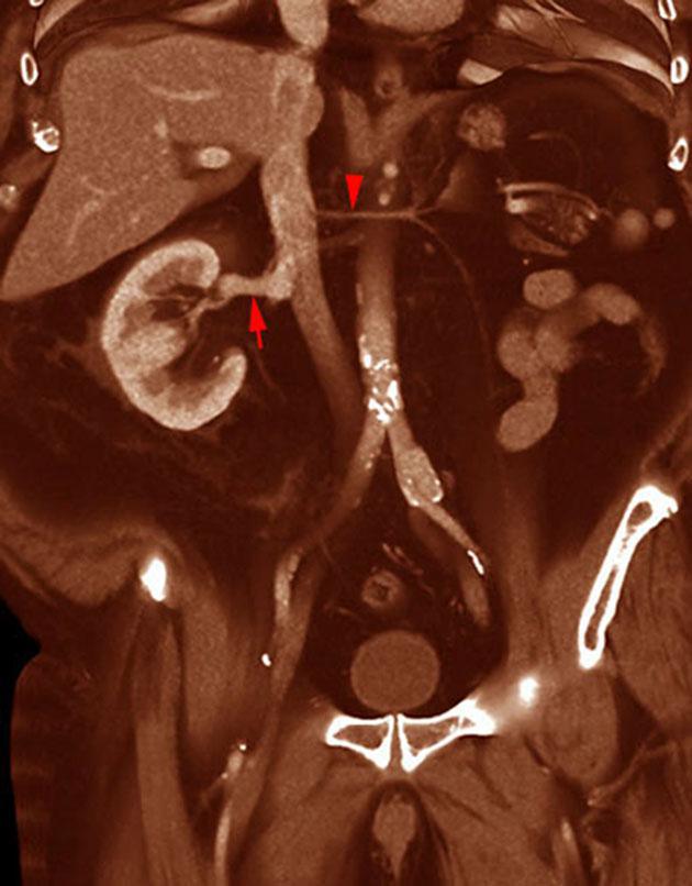
Agenesia Renal
VR seccional. Visión coronal anterior. Se observa un riñón derecho único con su vena renal (flecha) drenando en vena cava inferior. Vena renal izquierda hipoplásica (punta de flecha), confluencia de las venas suprarrenal izquierda y vena gonadal
Comentarios
Sin comentarios
Sé el primero en publicar un comentario
