
5 / 16

Agenesia Renal
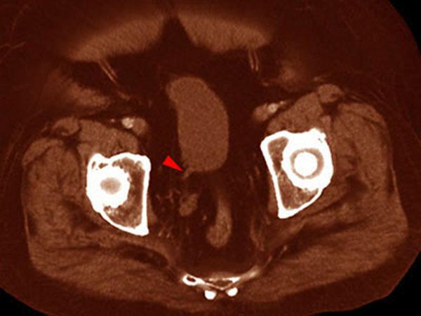
VR seccional. Visión axial caudal. Se observa la presencia de un único uréter derecho (punta de flecha) y una ausencia de la vesícula seminal izquierda
Comentarios
Sin comentarios
Sé el primero en publicar un comentario


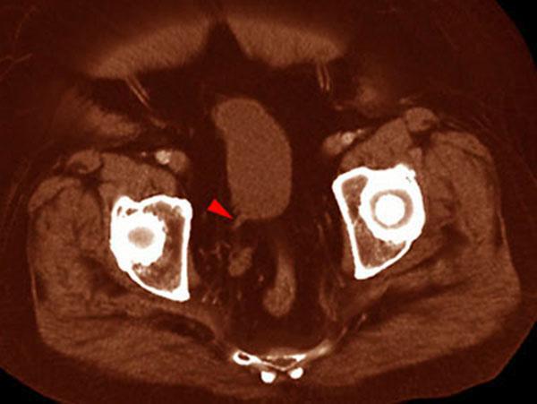
VR seccional. Visión axial caudal. Se observa la presencia de un único uréter derecho (punta de flecha) y una ausencia de la vesícula seminal izquierda