Información
Las adquisiciones volumétricas de los métodos de diagnóstico por imagen seccionales, fundamentalmente la tomografía computada, permiten un postprocesado de las imágenes con diferentes métodos de visualización básicos y avanzados, destacando entre estos último las representaciones volumétricas tridimensionales
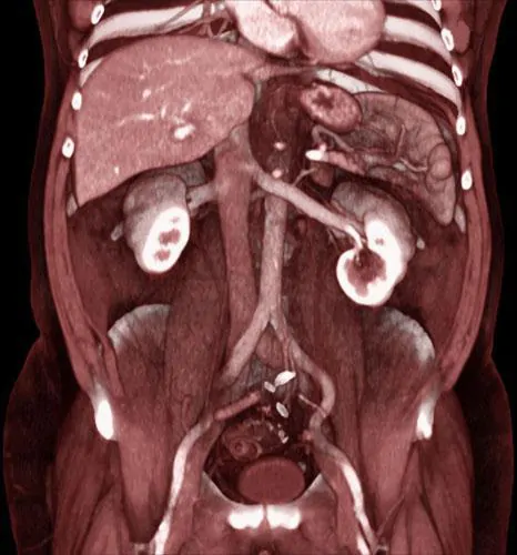
El Volume Rendering constituye un método de estudio muy relevante en la comprensión de la anatomía seccional ya que nos permite una perfecta orientación de todas las estructuras en los distintos planos del espacio. Su agradable combinación de la sección con la visión tridimensional hace que su utilización sea atractiva y esclarecedora.
Tanto el Volume Rendering 3D como el Volume Rendering seccional complementan el diagnóstico de la patología y permiten una clara comprensión de la misma, indispensable en la actualidad, para nuestros cirujanos y en la enseñanza de la Medicina
Esta obra, Patología 3D, constituye un Atlas de imágenes tridimensionales con tomografía computada
A quien le puede ser útil
Médicos especialistas en Ginecología, estudiantes de medicina, médicos internos residentes, médicos especialistas en atención primaria, técnicos de radiología, profesionales sanitarios en general.